ブログ
BLOG
ハーフリンガル、裏側矯正と透明なマウスピース矯正で迷ったら
こんにちは。
自由が丘シーズ歯科・矯正歯科です。
当院では歯列矯正を行う装置を以下の4つから選択可能です。
1、表側(唇側)のワイヤー矯正
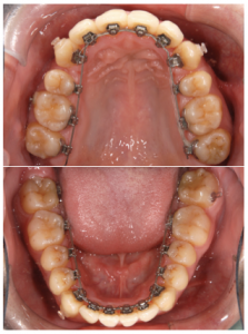
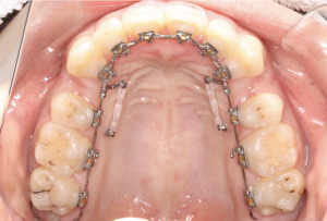
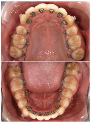
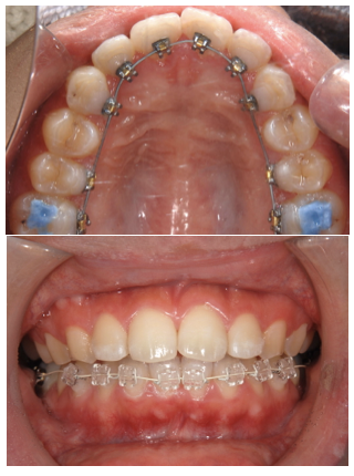
2、上が裏側(舌側)ワイヤー矯正で下が表側(唇側)ワイヤー矯正のハーフリンガル
3、上下裏側(舌側)ワイヤー矯正
4、インビザラインやスパークなどの透明なマウスピース矯正
どれでもよければ従来の表側のワイヤー矯正をお勧めしていますが、目立たない方が良い場合にはハーフリンガルを含む裏側(舌側)矯正か透明なマウスピース矯正が選択肢になることが多いです。抜歯は必要なく、少しのスペースを閉じたりマイルドな歯のガタガタにはマウスピース矯正も有効です。
ただ抜歯などを行い、大きくスペースを閉じる場合にはマウスピース矯正では歯根の移動が難しいためワイヤーをしようした移動様式をお勧めしています。抜歯を行い前歯を後方移動するような口ゴボと呼ばれる治療で表側のマルチブラケットが嫌な場合には裏側(舌側)矯正が適していると考えております。
当院では表側ワイヤー矯正の次に人気があるのがハーフリンガルになります。
下の歯の裏側の装置は舌にかなり擦れますし、目立ちにくさとコスパも考えるとハーフリンガルが選ばれるのも納得です。
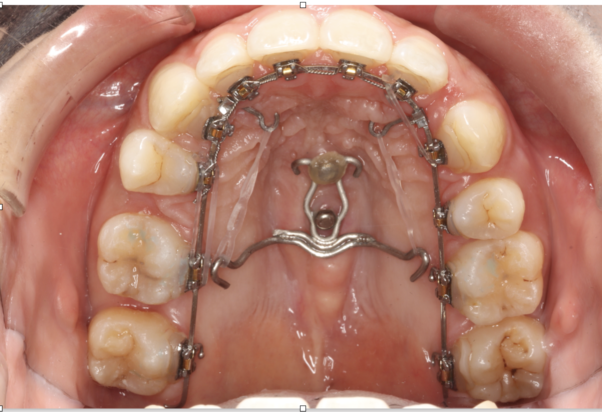
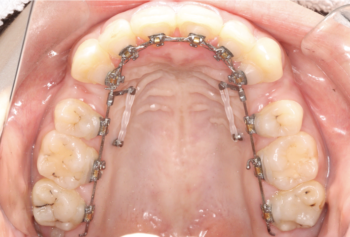
また裏側(舌側)矯正でも必要があればアンカースクリューを使用することはあります。
シンプルに舌側の歯槽部に埋入することもあれば
口蓋と呼ばれる上顎の天井部分に埋入することもあります。
またハーフリンガルはディープバイトの場合には前歯部がかなりぶつかってしまうので、奥歯の噛む面にセメントを盛って高さを高くする必要があります。(バイトアップ)
透明なマウスピース矯正の場合にはバイトアップするようなことは少ないです。
監修者
自由が丘シーズ歯科・矯正歯科 理事長 山口雅章
2005年昭和医科大学歯学部卒業、研修医終了後に昭和大学歯科矯正学教室勤務。2011年自由が丘シーズ歯科・矯正歯科開設。
所属:日本矯正歯科学会、東京矯正歯科学会、成人矯正歯科学会、日本舌側矯正歯科学会、日本包括的矯正歯科学会、日本顎関節学会、日本デジタル歯科学会、日本3Dプリンティング矯正歯科学会






