ブログ
BLOG
裏側(舌側)のFix固定による保定
こんにちは。
自由が丘シーズ歯科・矯正歯科です。
歯の矯正治療が終了した後の保定時には取り外しが可能なリテーナーを使用する場合と取り外しができない固定型の方法があります。
リテーナーの場合には透明なマウスピース型を使用する場合もあれば、ワイヤーとレジンで作られたプレート型を使用する場合もあります。
透明なマウスピース型のリテーナー
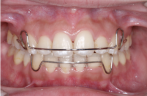
プレート型のリテーナー
当院では基本的には取り外し式のリテーナーを使用することを推奨しており、さらに下の歯には裏側(舌側)にFixワイヤーを接着することが多いです。
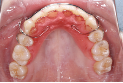
下顎の裏側(舌側)Fixワイヤー固定
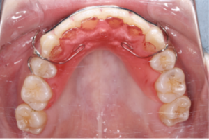
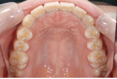
上顎の裏側(舌側)Fixワイヤー固定
下の歯の噛み込みが深い場合にはワイヤーの接着部位は歯茎に近い箇所に設定することもあります。さらに噛み込み(バイト)が深い場合には上にはFixが難しい場合もあります。
取り外しできるリテーナーは使用時間が短いと後戻りやズレを生じてしまう可能性がありますし、特に下の歯を支える顎の骨は薄くて歯が後戻りしやすいため、下顎にはFixとリテーナーを併用することが多いです。
一方で上の歯にはFixワイヤー固定はあまり使用していません。下の歯の裏側は口を大きく開けて鏡で自分自身で観察することができるため、装置が外れたりトラブルが起きた時にも気づきやすいですが、上の歯の裏側は自分自身で観察することはほぼ不可能です。上は下の歯が噛み込んでくるため、硬い食事をすると噛む力によって固定が外れてしまったり、直視できないため清掃が難しかったりします。どうしても必要な場合や要求がなければ基本的には上の歯には固定式の裏側(舌側)ワイヤー固定を行うことは少ないです。
Fixを行うと固定した歯の間にはフロスが通らないのも欠点になります。Fixは気づかないうちに外れてしまうこともあるため、Fix固定をしていたとしてもリテーナーの使用と定期検診(3ヶ月から半年に1度)はお勧めしています。
また、当院ではFixを行うとしても犬歯から犬歯までの最大6歯で行うことが多いです。抜歯症例では抜歯部位にスペースが開きやすいので本来は小臼歯までFixをつなげたいのですが、清掃と虫歯リスクの観点や脱離のしやすさの観点からそのようにしています。もちろん例外的に小臼歯まで繋げてる場合もあります。
以上まとめると
1、裏側(舌側)のFixワイヤー固定はリテーナーを使用していない時間も固定されるため、接着している部位は後戻りやズレが生じにくい。リテーナーをつけていられない方やサボりがちになってしまう方には大変有効。
2、当院では下の裏側(舌側)のFixワイヤー固定はよく行うが、上の裏側(舌側)のFixワイヤー固定の頻度は少ない。理由は上の裏側は直視できないので清掃や虫歯のリスク、下の歯が噛み込んでくるため固いものなどを噛んだ時に下に比べ外れやすい。例外的に行う場合もある。
3、裏側(舌側)のFixワイヤー固定のみで保定を行うと、気づかずに外れてしまう場合もありますし、奥歯までは固定はできないため多くの場合にはリテーナーも併用する。
4、裏側(舌側)のFixワイヤー固定をした箇所の歯間部にはフロスが通らず、虫歯や歯石沈着のリスク、気づかない内に脱離している場合などもあるため定期検診が必要となる。
監修者
自由が丘シーズ歯科・矯正歯科 理事長 山口雅章
2005年昭和医科大学歯学部卒業、研修医終了後に昭和大学歯科矯正学教室勤務。2011年自由が丘シーズ歯科・矯正歯科開設。
所属:日本矯正歯科学会、東京矯正歯科学会、成人矯正歯科学会、日本舌側矯正歯科学会、日本包括的矯正歯科学会、日本顎関節学会、日本デジタル歯科学会、日本3Dプリンティング矯正歯科学会








