自由が丘シーズ歯科・矯正歯科 平日 10:00~19:00 土日 9:00~17:00 03-6421-3324 Clinic Contents HOME コンセプト スタッフ紹介 医院紹介・アクセス 症例集 ブログ Treatment Contents HOME コンセプト スタッフ紹介 診療案内 診療科目Treatment 当院の矯正歯科治療 3Dデジタル矯正 マウスピース型装置を用いた矯正治療(インビザライン) 矯正歯科 舌側矯正 審美ブラケット 前歯部・部分矯正 審美的歯科治療 ホワイトニング 一般治療 リテーナー 医院紹介・アクセス 料金表 無料相談 ブログ BLOG 自由が丘シーズ歯科・矯正歯科 HOME ブログ 歯列矯正以外でも可能なこと 2013年10月27日 歯列矯正以外でも可能なこと ブログ 新着情報 前歯がハの字に開いて傾いています。 それよりも色も気になるところですね。 これは虫歯が神経を侵してしまって放置した結果変色してしまったもの。 神経の処置をして即日治療で仮歯に置き換えました。 色も歯の角度も良くなりましたよね。 歯の間にまだ虫歯が残っていますが、患者様は満足頂けました。 « 乳歯を抜歯して即日に矯正スタート 矯正装置の洗浄 »
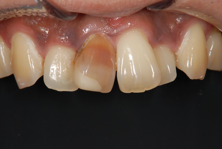
2013年10月27日 歯列矯正以外でも可能なこと ブログ 新着情報 前歯がハの字に開いて傾いています。 それよりも色も気になるところですね。 これは虫歯が神経を侵してしまって放置した結果変色してしまったもの。 神経の処置をして即日治療で仮歯に置き換えました。 色も歯の角度も良くなりましたよね。 歯の間にまだ虫歯が残っていますが、患者様は満足頂けました。