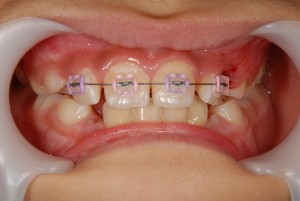
自由が丘シーズ歯科・矯正歯科 平日 10:00~19:00 土日 9:00~17:00 03-6421-3324 Clinic Contents HOME コンセプト スタッフ紹介 医院紹介・アクセス 症例集 ブログ Treatment Contents HOME コンセプト スタッフ紹介 診療案内 診療科目Treatment 当院の矯正歯科治療 3Dデジタル矯正 マウスピース型装置を用いた矯正治療(インビザライン) 矯正歯科 舌側矯正 審美ブラケット 前歯部・部分矯正 審美的歯科治療 ホワイトニング 一般治療 リテーナー 医院紹介・アクセス 料金表 無料相談 ブログ BLOG 自由が丘シーズ歯科・矯正歯科 HOME ブログ 乳歯を抜歯して即日に矯正スタート 2013年10月26日 乳歯を抜歯して即日に矯正スタート ブログ 新着情報 ぐらぐらになった左上の乳犬歯を抜歯して 即日に前歯に矯正装置を装着。 かわいらしい2色のパステルカラーを自分で選択。 下の正中線の左側へのずれ。 これを早期に治すために次回下の歯にも装置をつけたいと思っています。 « 矯正治療のワイヤーは清潔です 歯列矯正以外でも可能なこと »
2013年10月26日 乳歯を抜歯して即日に矯正スタート ブログ 新着情報 ぐらぐらになった左上の乳犬歯を抜歯して 即日に前歯に矯正装置を装着。 かわいらしい2色のパステルカラーを自分で選択。 下の正中線の左側へのずれ。 これを早期に治すために次回下の歯にも装置をつけたいと思っています。