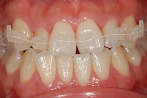
自由が丘シーズ歯科・矯正歯科 平日 10:00~19:00 土日 9:00~17:00 03-6421-3324 Clinic Contents HOME コンセプト スタッフ紹介 医院紹介・アクセス 症例集 ブログ Treatment Contents HOME コンセプト スタッフ紹介 診療案内 診療科目Treatment 当院の矯正歯科治療 3Dデジタル矯正 マウスピース型装置を用いた矯正治療(インビザライン) 矯正歯科 舌側矯正 審美ブラケット 前歯部・部分矯正 審美的歯科治療 ホワイトニング 一般治療 リテーナー 医院紹介・アクセス 料金表 無料相談 ブログ BLOG 自由が丘シーズ歯科・矯正歯科 HOME ブログ InVu表側矯正装置 2013年10月18日 InVu表側矯正装置 ブログ 新着情報 目立たない表側矯正の装置InVuにホワイトコーティングワイヤーを使用しています。 クリスタシリーズやインスパイア、デーモン等はクリア色なのに対し InVu は乳白色でややクリアな印象です。 歯の色で使いわけてます。 « 矯正用拡大装置 短根 »
2013年10月18日 InVu表側矯正装置 ブログ 新着情報 目立たない表側矯正の装置InVuにホワイトコーティングワイヤーを使用しています。 クリスタシリーズやインスパイア、デーモン等はクリア色なのに対し InVu は乳白色でややクリアな印象です。 歯の色で使いわけてます。