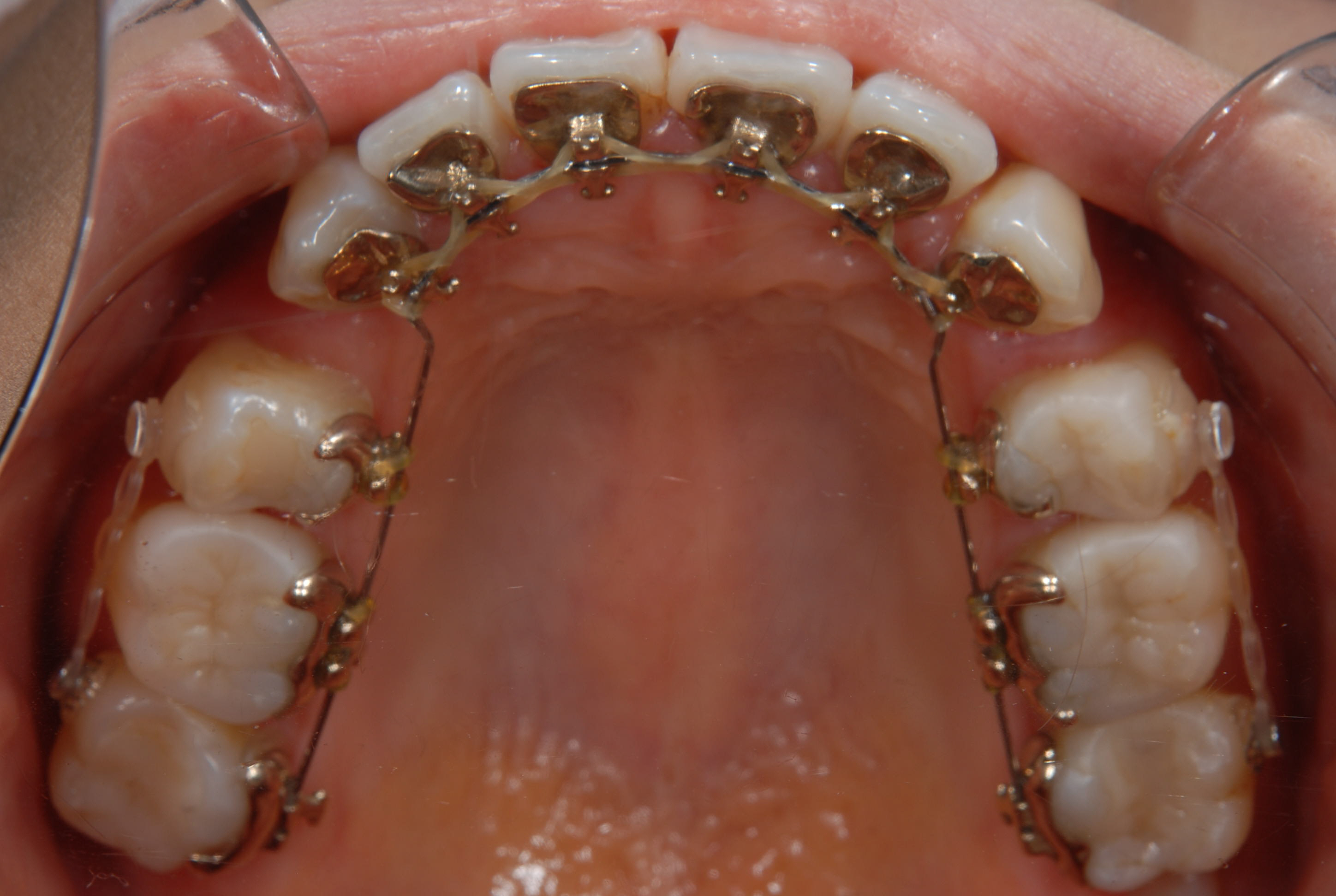
自由が丘シーズ歯科・矯正歯科 平日 10:00~19:00 土日 9:00~17:00 03-6421-3324 Clinic Contents HOME コンセプト スタッフ紹介 医院紹介・アクセス 症例集 ブログ Treatment Contents HOME コンセプト スタッフ紹介 診療案内 診療科目Treatment 当院の矯正歯科治療 3Dデジタル矯正 マウスピース型装置を用いた矯正治療(インビザライン) 矯正歯科 舌側矯正 審美ブラケット 前歯部・部分矯正 審美的歯科治療 ホワイトニング 一般治療 リテーナー 医院紹介・アクセス 料金表 無料相談 ブログ BLOG 自由が丘シーズ歯科・矯正歯科 HOME ブログ 裏側矯正 インコグニート症例 2013年11月18日 裏側矯正 インコグニート症例 ブログ 新着情報 奥歯が虫歯で状態が悪く、残す事が難しい。 しかも以前矯正治療を行ったことがあるが後戻りして 前歯に若干のガタガタが認められる。 患者様は裏側矯正を希望。 前歯を全体的に後ろに動かして、出っ歯も解消。 途中インプラントアンカーも併用して 最終的には隙き間を残さずきれいなアーチに整える。 « 虫歯になりにくい接着剤 歯科・矯正歯科とは »
2013年11月18日 裏側矯正 インコグニート症例 ブログ 新着情報 奥歯が虫歯で状態が悪く、残す事が難しい。 しかも以前矯正治療を行ったことがあるが後戻りして 前歯に若干のガタガタが認められる。 患者様は裏側矯正を希望。 前歯を全体的に後ろに動かして、出っ歯も解消。 途中インプラントアンカーも併用して 最終的には隙き間を残さずきれいなアーチに整える。