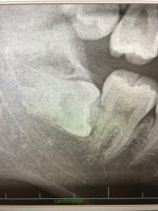
自由が丘シーズ歯科・矯正歯科 平日 10:00~19:00 土日 9:00~17:00 03-6421-3324 Clinic Contents HOME コンセプト スタッフ紹介 医院紹介・アクセス 症例集 ブログ Treatment Contents HOME コンセプト スタッフ紹介 診療案内 診療科目Treatment 当院の矯正歯科治療 3Dデジタル矯正 マウスピース型装置を用いた矯正治療(インビザライン) 矯正歯科 舌側矯正 審美ブラケット 前歯部・部分矯正 審美的歯科治療 ホワイトニング 一般治療 リテーナー 医院紹介・アクセス 料金表 無料相談 ブログ BLOG 自由が丘シーズ歯科・矯正歯科 HOME ブログ 水平埋伏智歯 2019年03月08日 水平埋伏智歯 ブログ 下の親知らずに多い横向きになった状態を水平埋伏と呼びますが、抜歯するとなると外科的な侵襲がどうしてもありますので 術後1週間から10日程度顔が腫れます。 また顎のあたりが内出血で青っぽくなる事もあります。 さらに腫れのために、口を大きく開けるのが難しくなりますので食事も思うように最初は取れない事もあります。 後日、糸をとって消毒なども必要です。 神経が近い場合にはしびれなどが残るリスクもありますので十分に相談してから抜歯を行うことをお勧めします。 « 2次元ではわからない事 矯正治療中の突起(アタッチメント) »
2019年03月08日 水平埋伏智歯 ブログ 下の親知らずに多い横向きになった状態を水平埋伏と呼びますが、抜歯するとなると外科的な侵襲がどうしてもありますので 術後1週間から10日程度顔が腫れます。 また顎のあたりが内出血で青っぽくなる事もあります。 さらに腫れのために、口を大きく開けるのが難しくなりますので食事も思うように最初は取れない事もあります。 後日、糸をとって消毒なども必要です。 神経が近い場合にはしびれなどが残るリスクもありますので十分に相談してから抜歯を行うことをお勧めします。