ブログ
BLOG
こんにちは。
自由が丘シーズ歯科・矯正歯科です。
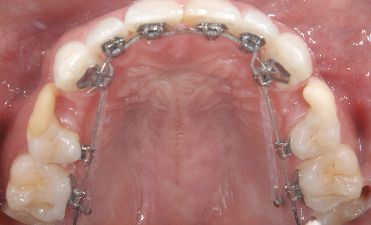
歯の矯正治療では歯を動かす方向や位置によっては、歯意外の固定源が必要な場合があり矯正用アンカースクリューを用いることが増えてきました。矯正用アンカースクリューは顎の骨に埋入しますので、動かない固定源として利用できます。矯正診断時にCTなどで骨と周囲の歯の根の距離などを十分にチェックを行い、根にぶつからないように準備をします。局所麻酔を行い、長さ6.0〜9.0mmくらいのスクリューを使用することが多いです。歯茎を切ったり縫ったりすることは基本的にはありませんので、腫れたり持続的な痛みが続くようなことはほとんどありません。歯と同じように口腔内細菌が感染を起こし、歯周病のようにスクリューが外れてしまう事がありますが、そのような場合には再度埋入することもあります。
上顎の口蓋部の正中付近に2本スクリューを埋入して大きな固定ステーションとして行う方法や歯に近い部分に埋め込んで固定源にする方法などがあります。
スクリューが歯の根にぶつかりそうになる事もありますので、歯に近い箇所に打つ場合には歯が動いてきましたら撤去したり、位置替えのために再埋入が必要になることもあります。
正中部に埋入する場合には歯と十分に距離がありますので位置を変える必要はありませんし、前歯も小臼歯も奥歯の大臼歯もアプローチが可能になります。しかし、装置の厚みがありますので舌感が悪く、発音にも影響が出ることがあります。
監修者
自由が丘シーズ歯科・矯正歯科 理事長 山口雅章
2005年昭和医科大学歯学部卒業、研修医終了後に昭和大学歯科矯正学教室勤務。2011年自由が丘シーズ歯科・矯正歯科開設。
所属:日本矯正歯科学会、東京矯正歯科学会、成人矯正歯科学会、日本舌側矯正歯科学会、日本包括的矯正歯科学会、日本顎関節学会、日本デジタル歯科学会、日本3Dプリンティング矯正歯科学会


