ブログ
BLOG
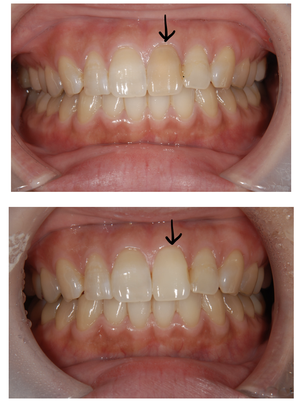
歯は虫歯や外傷などで神経に感染などを起こし死んでしまうと、徐々に経年的に黒ずんできます。
さらに歯が脆くなり歯が欠けてきたり、最終的には歯の根っこが割れて(歯根破折)抜歯に至ります。
そこまでが歯の寿命ということになります。
通常は神経が死んだ歯はクラウンを被せる治療(差し歯)を行いますが、前歯で歯の損傷が少ない場合には
樹脂で神経の治療後に穴を塞いで終了することも珍しくありません。
しかし数年経つと色が気になってくることが多いです。
そのような場合にには選択肢は2つでホワイトニングを行うか、クラウンで被せるかになります。
(神経がない歯にラミネートベニアはお勧めではありません。)
当院では神経のない歯のホワイトニングは基本的にはインターナルブリーチの方法で行います。
オフィスホワイトニングの薬剤を用いて安全に行いますが、色の変化に個人差があります。
かなり白く変化する方もいれば、あまり変化が見られない場合もあります。
変化が見られない場合にはクラウンへ移行するのが望ましいでしょう。
写真は神経のない前歯のホワイトニングの前後になります。
