ブログ
BLOG
こんにちは。
自由が丘シーズ歯科・矯正歯科です。
久しぶりのブログの更新となります。
本日は矯正治療の固定源について考えてみました。
ワイヤーをレールとして歯を並行移動する場合、その歯を引っ張るもしくは押す固定源が存在します。
例えば出っ歯を治すために前歯を後ろに引っ張る時には引っ張る固定源を考えなければいけません。通常の歯列矯正では奥歯を固定源として前歯を引っ張りますが、奥歯も歯なので前に引っ張られて動きます。治療方針として奥歯が前に移動する必要があればシンプルに歯と歯で引っ張り合いますが、奥歯がこれ以上前に来てほしくない場合などには顎間ゴムや顎外固定のヘッドギアや矯正用アンカースクリューを用いなければいけません。
上の歯と下の歯に顎間ゴムと呼ばれる小さな輪ゴムを引っ掛けて、奥歯が前に来ないように抑えながら前歯を引っ込めます。顎間ゴムは取り外しができるため、食事やしゃべりにくい時にはご自身で外して、使用できる時間にはできるだけつけてもらうことが多いです。デメリットは取り外しができるため協力が得られない場合には効果がでませんし、下の歯にも力がかかりますので反作用が治療方針と一致していない場合には使用できません。
ヘッドギア(ネックギア)は現在当院ではほとんど使用をしていません。
近年顎間ゴムの次に行うのが矯正用アンカースクリューもしくはインプラントアンカーと呼ばれる固定です。およそ6.0mmから7.0mm程度の細いチタン製のネジを局所麻酔をして埋め込みます。歯のインプラントと違うのは歯茎を剥がしたりすることはありませんし、埋入後に強い痛みがでたり腫れたりすることは少なく、必要がなくなれば撤去するものになります。メリットは歯ではないので動くことがないため、反作用を考えなくてすみますし、顎間ゴムのように使用時間が関係なく効果を発揮しますので歯が予想したように動く再現性が高い治療になります。
外側の歯茎にシンプルに埋入するタイプ
裏側(舌側)矯正で内側に埋入
外側に埋入して正中がずれないように固定
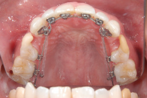
上記のようなシンプルなのもあれば上顎の内側(口蓋部)に2本アンカースクリューを埋入して、そのアンカースクリューにアームとなるワイヤーなどの矯正装置を装着して固定源にするタイプもあります。こちらは歯と離れていますので、アンカースクリューのネジ部が歯の根にぶつかる事がなく、遠心移動や正中を合わせるなど様々な動的処置に対応が可能です。
シンプルなものよりは当然舌感は悪くなります。
現在ではPLASやアイステーション(i-station)などを主に用います。
監修者
自由が丘シーズ歯科・矯正歯科 理事長 山口雅章
2005年昭和医科大学歯学部卒業、研修医終了後に昭和大学歯科矯正学教室勤務。2011年自由が丘シーズ歯科・矯正歯科開設。
所属:日本矯正歯科学会、東京矯正歯科学会、成人矯正歯科学会、日本舌側矯正歯科学会、日本包括的矯正歯科学会、日本顎関節学会、日本デジタル歯科学会、日本3Dプリンティング矯正歯科学会








