ブログ
BLOG
こんにちは。
自由が丘シーズ歯科・矯正歯科です。
近年ニーズが高まったカスタム型マウスピース矯正装置、インビザラインによる歯列矯正と従来のワイヤー矯正の歯の動きの違いについて考えてみました。
マウスピース矯正は取り外しが可能なことから虫歯のリスクの軽減や口内炎ができにくいなど、目立たないこと以外にもメリットがある反面、全ての動きが完全にできるわけではないので症例を選別して行なっています。
奥歯の噛み合わせに問題がなく、前歯の軽度のガタガタ(叢生)を治す治療などにはインビザラインはほぼ問題なく治療が完了することが多いですが、抜歯を伴い歯の根の平行移動などを要する治療や奥歯のローテションなどを治すのは難しいと感じています。
万能に治すことができる表側のマルチブラケット矯正装置ではワイヤーをレールとして歯を掴んだ状態で平行移動ができるため抜歯症例では基本的にはワイヤー矯正をお勧めしています。当院ではどうしてもマウスピースをご希望される場合にはワイヤー矯正である程度動かしてからインビザラインに移行したり、逆にインビザラインで動かしてからワイヤー矯正で仕上げたりする場合もあります。
自由が丘シーズ歯科・矯正歯科ではインビザラインも複雑な歯の動きを伴う場合には数回、マウスピースを追加で製作したり、ボタンとゴムの併用やアンカースクリューの併用、最終的にはワイヤー矯正へ移行などのフォローアップでワイヤー矯正の仕上がりとできる限り差がないように努めています。
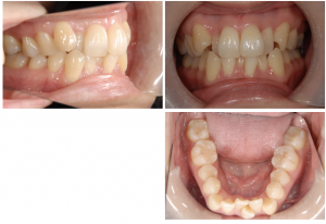
インビザラインによる抜歯症例
初診、叢生が強度で正中線が下が左側にずれています。奥歯は左右1級ですが、抜歯の診断になりました。インビザラインを希望。
上は左右4、右下5、左下4を抜歯してインビザラインをスタート、ボタンも装着して顎間ゴムを併用します。
追加のアライナー(マウスピース)も5回程度行い、顎間ゴムもしっかり行い、なんとか前後的には1級をキープして抜歯スペースを閉じましたが、特に下顎の奥歯が近心傾斜を起こし、上下の臼歯の咬合にスペースができてしまい噛んでいないため、ここから下顎のみ表側のマルチブラケット矯正装置に移行しました。インビザラインでは奥歯の傾斜と前歯の早期接触で上下の奥歯の噛み合わせに隙間ができることが結構多いです。
最後は一番結果を出しやすいワイヤー矯正で奥歯の咬合を合わせて保定処置になりました。この症例ではボタンと顎間ゴムを併用しましたが、矯正用インプラントのアンカースクリューを併用することも珍しくありません。
当院ではマウスピース矯正でも可能な限りワイヤー矯正との仕上がりに差がないように、追加料金なしでワイヤー矯正に移行可能な契約で矯正治療を行なっております。抜歯症例などの再現性が低い治療のマウスピース矯正では何度も追加のマウスピースを発注することになりますし、ワイヤー矯正に移行することもありますのでワイヤー矯正単独で行った方がトータルの治療期間は早いかと思います。
表側がどうしても嫌、でも抜歯が必要、インビザラインでは難しい場合には裏側矯正が良いかもしれません。
監修者
自由が丘シーズ歯科・矯正歯科 理事長 山口雅章
2005年昭和医科大学歯学部卒業、研修医終了後に昭和大学歯科矯正学教室勤務。2011年自由が丘シーズ歯科・矯正歯科開設。
所属:日本矯正歯科学会、東京矯正歯科学会、成人矯正歯科学会、日本舌側矯正歯科学会、日本包括的矯正歯科学会、日本顎関節学会、日本デジタル歯科学会、日本3Dプリンティング矯正歯科学会




