症例集

CASE

骨格性I級、歯性II級、上顎正中離開及びフレアーアウト、アンカースクリューを用い遠心移動を行った症例

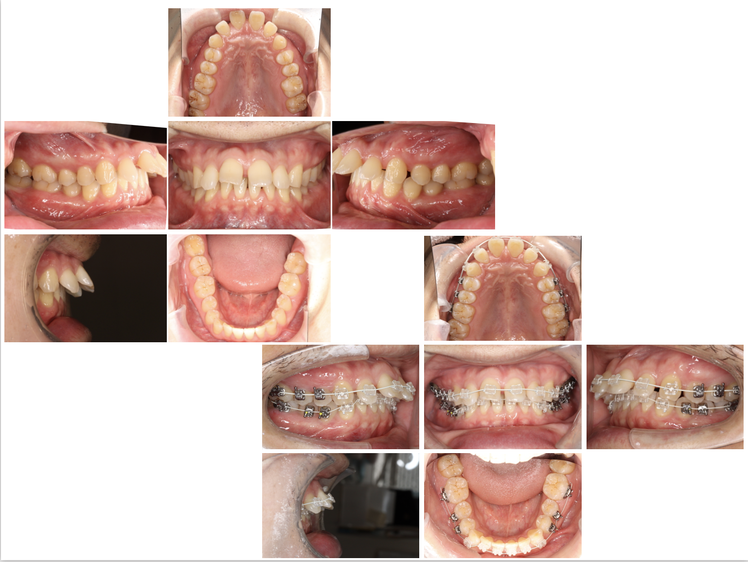
  • Before

    Before
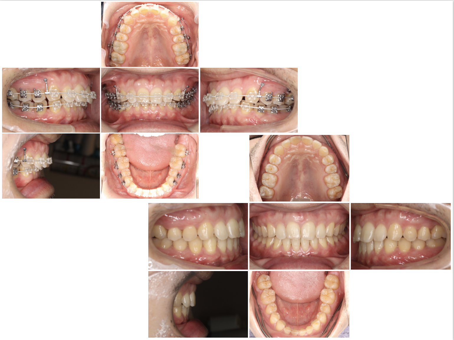
  • After

    After
年齢 40歳
抜歯部位 右側上下の智歯
治療期間 1年6ヶ月
治療費概算 検査診断3万円、表側マルチブラケット75万円、調整料3,000円、アンカースクリュー20,000円✖️2、智歯の抜歯は保険適応、最初のリテーナー代金含む、消費税別
主訴 前歯が出てるのと隙間が気になる
診断名あるいは主な症状 骨格性I級、歯性II級、上顎正中離開及びフレアーアウト
治療に用いた主な装置 上顎表側マルチブラケット装置022
下顎表側マルチブラケット装置022
顎間ゴム
アンカースクリュー2本
保定は上下クリアリテーナー、下顎はFix固定も併用
リスク・副作用 歯の動く際に痛みを生じることがある。
口内炎ができることがある。
歯根吸収や歯肉退縮、知覚過敏を起こす場合がある。
ブラックトライアルができる場合がある。

【矯正歯科治療にともなう一般的なリスク・副作用】

  • 機能性や審美性を重視するため自費(保険適用外)での診療となり、保険診療よりも高額になります。
  • 最初は矯正装置による不快感、痛みなどがあります。数日から1~2週間で慣れることが多いです。
  • 治療期間は症例により異なりますが、成人矯正や永久歯がすべて生え揃っている場合は、一般的に1年半~3年を要します。小児矯正においては、混合歯列期(乳歯と永久歯が混在する時期)に行なう第1期治療で1~2年、永久歯がすべて生え揃った後に行なう第2期治療で1~2年半を要することがあります。
  • 歯の動き方には個人差があるため、治療期間が予想より長期化することがあります。
  • 装置や顎間ゴムの扱い方、定期的な通院など、矯正治療では患者さまのご協力がたいへん重要であり、それらが治療結果や治療期間に影響します。
  • 治療中は、装置がついているため歯が磨きにくくなります。虫歯や歯周病のリスクが高まるので、丁寧な歯磨きや定期メンテナンスの受診が大切です。また、歯が動くことで見えなかった虫歯が見えるようになることもあります。
  • 歯を動かすことにより歯根が吸収され、短くなることがあります。また、歯肉が痩せて下がることがあります。
  • ごくまれに、歯が骨と癒着していて歯が動かないことがあります。
  • ごくまれに、歯を動かすことで神経に障害を与え、神経が壊死することがあります。
  • 治療中に金属などのアレルギー症状が出ることがあります。
  • 治療中に、「顎関節で音が鳴る、顎が痛い、口をあけにくい」などの顎関節症状が出ることがあります。
  • 問題が生じた場合、当初の治療計画を変更することがあります。
  • 歯の形状の修正や、噛み合わせの微調整を行なうことがあります。
  • 矯正装置を誤飲する可能性があります。
  • 装置を外すときに、エナメル質に微小な亀裂が入る可能性や、補綴物(被せ物など)の一部が破損することがあります。
  • 装置を外した後、保定装置を指示どおりに使用しないと後戻りが生じる可能性が高くなります。
  • 装置を外した後、現在の噛み合わせに合わせて補綴物(被せ物など)の作製や虫歯治療などをやり直す可能性があります。
  • 顎の成長発育により、噛み合わせや歯並びが変化する可能性があります。
  • 治療後に親知らずが生えて、歯列に凹凸が生じる可能性があります。
  • 加齢や歯周病などにより歯を支える骨が痩せると、歯並びや噛み合わせが変化することがあります。その場合、再治療が必要になることがあります。
  • 矯正治療は、一度始めると元の状態に戻すことが難しくなります。